





マイナ受付のご案内

当医院では、マイナンバーカードが保険証として使えます。
オンライン資格確認によって受診歴・薬剤情報・特定健診情報などの情報を共有、より適切な医療を受けることができます。
多言語に対応できます

当医院では「翻訳機」をご用意しています。
自由診療のお支払いには
現金のほかにクレジットカード決済がご利用いただけます。

|
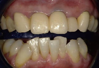
審美歯科 ~ホワイトニング~
症例紹介
 |
 |
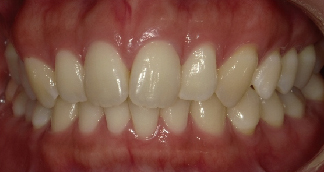
| ホワイトニング前 |
ホワイトニング一回目 |
 |
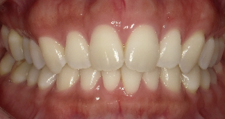
| ホワイトニング二回目 |
 |
 |
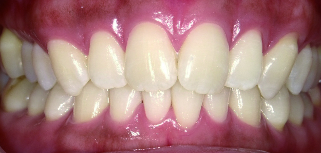
| ホワイトニング前 |
ホワイトニング後 |
ホワイトニング価格表
| |
オフィス (歯科医院) |
ホーム (自宅) |
デュアル (オフィス・ホーム両方) |
| 上下顎 |
30,000円 (税込み 33,000円) |
35,000円 (税込み 38,500円) |
55,000円 (税込み 60,500円) |
| 片顎 |
20,000円 (税込み 22,000円) |
25,000円 (税込み 27,500円) |
37,000円 (税込み 40,700円) |
医療ホワイトニング
歯の内部から医療機器・製品を用いて医療従事者が施術します。
年齢とともに黄色くなった歯にも効果があります。
医療ホワイトニングには以下の2種類があります。
●オフィスホワイトニング 片顎(上顎・下顎どちらか) 20,000円~ |
●ホームホワイトニング 片顎(上顎・下顎どちらか) 25,000円~(薬剤2本入り) |
・歯科医院で医療従事者がホワイトニング機材を用いて施術します。
・一回(1時間~1時間半)の施術で効果が現れます。
①診断 ②歯のクリーニング
③施術(薬液塗布➡光照射➡薬液除去を三回繰り返す)
・歯科医院で型取りし、マウスピースを作製します。
・ご自宅などでマウスピースに薬液を入れ、2時間ほど装着します。
・2週間ほどで効果が現れます。
セルフホワイトニング
化粧品該当製品や医療部外品歯磨き剤を使用して自分自身でおこないます。
歯の表面の色素沈着を除去します。
|
オフィスホワイトニング・ホームホワイトニングを組み合わせると効果が長持ちします。 |
かぶせものや詰め物には効果がありません。また、処置後に歯がしみる可能性があります。 |
|
ホワイトニング効果は永久的に持続するものではありませんので、定期的なホワイトニングの施術および検診が必要です。 |
ご自身の歯がホワイトニングに適しているか、カウンセリングを行う必要があります。
当診療所では随時歯科相談を承っております。お気軽にお問い合わせください。 |
詳しい内容はかかりつけ歯科医院におたずねください。
|